Troubleshooting and choosing the right type of slides.
Ugh. My tissue washed off again during IHC. Why is there so much background on the slide? I can’t get this toenail to stay on the slide. We get it, we’ve been there and have experienced all these situations. Let’s look at modifications that can be made to minimize issues.
Application
When is the tissue washing, not adhering to the slide, or experiencing background staining?
H&Es
Non-adhesion slides (no specific coating applied to slide) work well for routine H&Es. KT™ Series KT1 slides and ColorView™ Non-Adhesion slides are an excellent choice that will not have background staining.
*Non-adhesion slides may not work for every H&E slide. Tissues that are more prone to wash, such as bone, nail, skin, brain, or fatty tissues (breast, lymph nodes, liver, connective tissues) may work best on an adhesion slide or with extended drying time. Make sure to choose the right adhesion slide to eliminate background staining. Check out our selection of Non-adhesion slides.
Special Stains
Non-adhesion slides are also an optimal choice for Special Stains as there is no background staining and most special stains are gentle enough for the tissue to adhere. *Non-adhesion slides may not work for every Special Stain. Tissues that are more prone to wash, such as bone, nail, skin, brain, or fatty tissues, may work best on an adhesion slide or with extended drying time. Make sure to choose the right adhesion slide to eliminate background staining, especially on silver stains.

Silver background on GMS stain
IHC
Adhesion slides (specific coating applied to slides for improved adhesion) are the best option for IHC/ISH. Due to the harshness of the staining process to the tissue, the added adhesion allows for better tissue adherence to the slides. Options for adhesion slides include KT™ Slides KT3+ (standard adhesion), KT5+ (advanced adhesion), Millennia™ Command, TOMO®, and M1000.
*While adhesion slides can work for most staining applications, some adhesive properties may cause background on H&Es and silver stains. KT5+ slides are designed to provide superior adhesion while preventing background staining. Check out our selection of adhesion slides.
Frozen Sections
Adhesion slides are the best option for frozens as well. Since frozen sections are not fixed and may contain water, some added adhesion will help to prevent tissue wash. *If tissue isn’t “sticking” to the slide inside the cryostat, place the back of the slide on your hand to warm the slide up.
Tissue Type
Are you experiencing tissue loss or the tissue folding on “tricky” tissues, or certain tissues that are known to detach from the slide (bone, nail, skin, breast, brain, lymph nodes, liver, or other fatty tissues)?
- Check which slides are being used for tricky tissues. If not already using adhesion slides, consider changing certain tissues to adhesion slides. Slides with extreme adhesion, such as KT5+, TOMO or M2000, are the best option for difficult tissues, however, they may display some background staining on the slide.
- Increase drying time for tricky tissues. An extra 15 minutes up front can save 3-4 hours of time due to repeated staining. The High Capacity Slide Dryer is a great option for rapid and efficient slide drying.


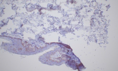
Tissue folding on IHC stain
Labeling and Tracking
Do you manually label slides, print labels and apply to slides, or use a slide printer? Certain slides work better for different labeling processes.
- Thermal transfer printers, such as the PiSmart Slide Printer print best with slides that have a very smooth frosted end, like KT Slides, ColorView, any Millennia slide, or TOMO.
- Inkjet printers need slides designed specifically for inkjet printing, like InkPro and KT5+
- UV laser slide printers are compatible with both thermal transfer and ink slides.
- Thermal transfer printers, such as the PiSmart Slide Printer print best with slides that have a very smooth frosted end, like ColorView, any Millennia slide, or TOMO.
- Some slide printers work best with 45° corners to eliminate chipped and fragmented glass and jamming.
Automated Instruments
Do you use an autostainer for H&E staining, Special stains, or IHC? Or what about an auto coverslipper or slide printer? Some instruments may require certain slide properties, such as 90° corners or 45° (clipped) corners for optimal performance, or even a specific type of coating on adhesion slides for slide wettability (how much of the slide is covered by the reagent). Check the instrument user manual to ensure the correct type of slides are being used.
- Many IHC stainers and coverslippers work best with 90° corner slides It is best to use slides with 90° corners on the Leica Bond for optimal slide placement and fluid flow, and to allow covertiles to stay in place.
- Slide wettability is excellent when using a hybrid or hydrophilic (water loving) slide, such as KT5+, Millennia Command™ or TOMO® slides. Hybrid/hydrophilic slides may work best on Ventana BenchMark Ultra IHC stainers.


Wettability on TOMO, Millennia Command, M1000, and ColorView Adhesion slides after 5 drops of reagent (left) and 10 drops of reagent (right)
Inventory Management and Storage
- Check how old the slides are as they will lose their adhesive property or “charge” over time. Once a box of slides is opened, use the box completely before opening another box, as the coating can begin to oxidize.
- Utilize a “first in first out” system to ensure that the oldest slides are used first.
- Store slides with the lid on in a temperature-controlled environment, away from humid water baths, heat sources, or other extreme temperatures.
- Keep them fresh: Do not place large bulk orders with the intent of ordering for more than 3 months at a time.
- Increase drying time for certain troublesome tissue types.
- If time allows, allow slides to airdry overnight instead of drying in the oven.
- Ensure no water is trapped under the tissue and tap off any excess water.
- Check microtome to confirm tissue sections are not being cut thicker than 4 microns for routine tissues.
- Do not add adhesive additives or gelatin to the water bath when using adhesion slides. These can counteract the adhesion already on the slide and cause unwanted tissue wash.
- Ensure that when placing tissues on slides from the water bath, the correct technique is used depending on if the slides are hydrophobic (repel water) or hydrophilic (absorb water)
Fun Fact!
Charged, Plus, Positive, Adhesive, Coated all mean the same thing! They all refer to a chemical adhesive (charge) being added to the slide to help hold tissue on the slide during staining.
Learn how to pick up tissue with a hydrophobic coated slide versus a hydrophilic coated slide.
Not sure what slide to choose for your applications?
Answer a couple short questions and find your slide match!
ACCESS THE SLIDE FINDER
Adhesion Slide Compatibility Chart
| Brand | KT Slides KT5+ | KT Slides KT3+ | Millennia Command (MCOMM) |
Millennia 1000 (M1000) |
TOMO (M5000) |
Colorview (315+) |
InkPro (601+) |
| Corners | 90 Degree Corners; Clipped Corners | 90 Degree Corners; Clipped Corners | 90 Degree Corners | 90 Degree Corners; Clipped Corners | 90 Degree Corners; Clipped Corners | Clipped Corners | Clipped Corners |
| Packaging | 1,440 slides / case | 1,440 slides / case | 1,000 slides / case | 1,000 slides / case | 1,000 slides / case | 1,440 slides / case | 1,440 slides / case |
| Wettability | Hybrid | Hydropobic | Hybrid | Hydropobic | Hydrophilic | Hydropobic | Hydropobic |
| H & E | Good performance | Good performance | Good performance | Good performance | Some background staining; Not Recommended | Good performance | Good performance |
| Special Stains | Good performance | Good performance | Good performance | Good performance | Some background staining; Not Recommended | Good performance | Good performance |
| IHC | Advanced adhesion even for tricky tissues to adhere | Good performance | Good performance | Good performance | Advanced adhesion even for tricky tissues to adhere | Not recommended | Not recommended |
| Frozen | Good performance | Good performance | Good performance | Good performance | Good performance | Good performance | Good performance |
| Printer Compatibility | Excellent for thermal transfer printers & UV laser | Excellent for thermal transfer printers & UV laser | Excellent for thermal transfer printers & UV laser | Excellent for thermal transfer printers & UV laser | Excellent for thermal transfer printers & UV laser | Excellent for thermal transfer printers & UV laser | Inkjet compatible |
Non-Adhesion Slide Compatibility Chart
|
Brand |
KT Slides KT1 |
Millennia 8000 (M8000) |
Colorview Non-Adhesion |
Colorview Non-Adhesion |
|
Corners |
90 Degree Corners; Clipped Corners |
90 Degree Corners; Clipped Corners |
90 Degree Corners; Clipped Corners |
90 Degree Corners; Clipped Corners |
|
Packaging |
1,440 slides / case |
1,000 slides / case |
1,440 slides / case |
1,440 slides / case |
|
H & E |
Good performance |
Good performance |
Good performance |
Good performance |
|
Special Stains |
Good performance for most tissues |
Good performance for most tissues |
Good performance for most tissues |
Good performance for most tissues |
Recent Posts
-
Amyloid Sections Washing Off? Let’s get to the bottom of this tricky stain.
Have you ever wondered how an 8–10 µm amyloid section washes off with aggressive alkaline rinses of
-
Thinking of going xylene-free? Here’s what labs should know.
Histotechs know the dangers and health risks associated with xylene, and interest in greener labs co
-
Manual vs. Semi-Auto Microtomes: Why the small difference makes a big impact.
Manual microtomes have long been a reliable choice in histology labs, but semi-automatic models, lik